登录
注册
首页
关于我们
义齿加工
病例库
新闻动态
联系我们
复杂修复方案免费设计
登录
注册
首页
关于我们
义齿加工
病例库
新闻动态
联系我们
复杂修复方案免费设计
固定类
活动类
种植类
贴面类
返回列表 >
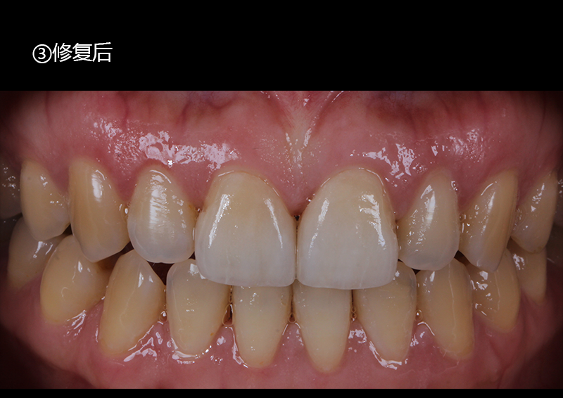
铸瓷贴面修复案例2
登录靖佳齿科帐号
没有帐号,免费注册
记住我
忘记密码?
注册靖佳齿科帐号
已有账号,立即登录
获取验证码
我已阅读,并同意
《靖佳齿科会员服务协议》
忘记密码
已有账号,立即登录
获取验证码